Posterior Heel Spur Treated by Top Foot Doctors at Mercy

The Institute for Foot and Ankle Reconstruction at Mercy in Baltimore, Maryland, features some of the top surgeons of the Mid-Atlantic region. Our doctors provide experienced diagnosis and treatment for common foot and ankle conditions including posterior heel spur.

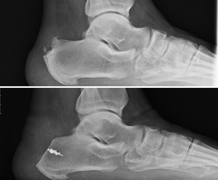
Posterior Heel Spur
About Heel Spurs
With overuse and age, the part of the Achilles tendon that attaches to the heel bone can become chronically inflamed. Over time this inflammation can cause the tendon to calcify and turn into a bone spur on the back of the heel. There can also be damage to the tendon itself. This heel spur can be very painful, making shoe wear and exercise difficult.
Symptoms & Diagnosis

Patients with posterior heel spurs complain of:

  • Prominence on the back of the heel
  • Pain
  • Redness
  • Swelling
  • Problems with shoe wear

Any shoes with closed heels can be painful because of rubbing in the back of the shoe. People will often use Band-Aids or extra padding to protect the tender area. Open backed shoes are preferred in the warmer months.

Pain from a posterior heel spur is worse with activity or exercise. The posterior heel spur can also be symptomatic during the first steps out of bed. This is because the Achilles tendon contracts during sleep while the ankle is in a relaxed position. When we step out of bed in the morning the Achilles suddenly stretches and pulls on the heel spur causing acute pain.

The diagnosis is usually obvious. There will be visible swelling and redness on the back of the heel and the patient will be tender at the attachment site of the Achilles tendon where the bone spur is palpable. X-rays will confirm the presence of a bone spur on the back of the heel. MRIs can be useful to determine the extent of damage to the Achilles tendon.

Treatment Options for Heel Spurs

Non-surgical Treatment

Non-surgical treatment for posterior heel spurs include:

  • Open back shoes
  • Ice
  • Heel lifts under both feet
  • Nonsteroidal anti-inflammatories
  • Achilles stretching
  • Physical therapy
  • Night splint

Surgical Treatment

If conservative treatment fails, surgery involves removal of the bone spur from the back of the heel. To do this the Achilles tendon may have to be partially detached from the heel and then repaired back to the bone. After a period of immobilization and non-weight bearing, the patient will need to go to physical therapy. It can take several months for the heel to feel better after this surgery because the Achilles tendon has a very poor blood supply.

The Institute for Foot and Ankle Reconstruction at Mercy includes a top rated team of surgeons who are dedicated to advanced treatments of common and complex foot and ankle disorders.